有虫牙怎么办?虫牙,又称“蛀牙”、“龋齿”,并不是牙齿中长了虫子,而是口腔中糖和酸共同作用,产生了致龋菌,腐蚀了牙体。虫牙是许多朋友都可能遇到的问题,根据第三次全国口腔健康流行病学调查结果显示,我国5岁儿童、35-44岁中青年、65-74岁老年人的龋齿率均超过了66%,65-74岁老年人更是高达98.4%。目前,临床上治疗虫牙最有效的方法就是补牙,同时越早治疗虫牙,效果越好。

由于大家对虫牙的认识不正确、不深刻,许多人都认为虫牙不是病,多刷刷牙,少吃点糖就好了,所以常常贻误了治疗虫牙的时机,导致“小洞不补,大洞吃苦”,甚至引发了钻心的牙疼,寝食难安。
乳牙有虫牙怎么办?
对于儿童乳牙长虫牙,不少家长都认为,儿童乳牙反正都是要换的,可以不补,这种观点是非常错误的。武汉爱齿尔口腔专家指出:乳牙长了虫牙同样要及时补牙,一旦乳牙遭到严重的龋坏,可直接影响牙体、牙髓及牙周组织,最终导致乳牙松动脱落。乳牙过早脱落,相对的牙齿失去了对咬牙,使对牙向缺失乳牙部位伸长,影响恒牙的生长发育,甚至出现牙齿排列紊乱。家长朋友们注意,应定期带着小孩到专业口腔医院进行口腔检查,若孩子大磨牙的窝沟比较深,应及时进行窝沟封闭,防止虫牙滋生。
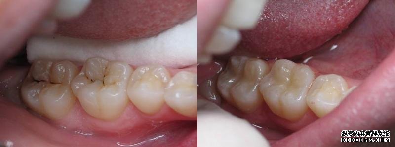
恒牙有虫牙怎么办?
一旦恒牙长了虫牙,就更应及时补牙了,这是因为恒牙一旦脱落了是无法再生的,另外,虫牙是一种破坏性的进行性疾病,不通过补牙是无法治愈的,而且虫牙不及时治疗,拖的时间越久,补牙难度越大。当虫牙导致牙体严重酸蚀缺损后,会直接侵袭牙髓或根尖周,导致剧烈牙疼,夜晚更甚,且伴有阵发性加剧的症状,这时有可能需要先进行根管治疗,清空髓腔和根管内的坏死物质再进行补牙填充,这样不仅增加了治疗难度、治疗费用,而且治疗时间也会延长。根管治疗通常需要2-4次才能完成。
有虫牙怎么办?一个字:治。两个字:补牙。而且,大家需要注意保持口腔清洁卫生,正确刷牙。如果您对补牙和根管治疗需要更进一步的了解,可以咨询权威的武汉牙科医院武汉爱齿尔口腔医生。详情登陆:
